症例
マウスピース矯正の症例
ここでは当院で治療したマウスピース矯正の症例の一部をご紹介させて頂きます。
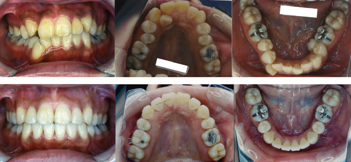
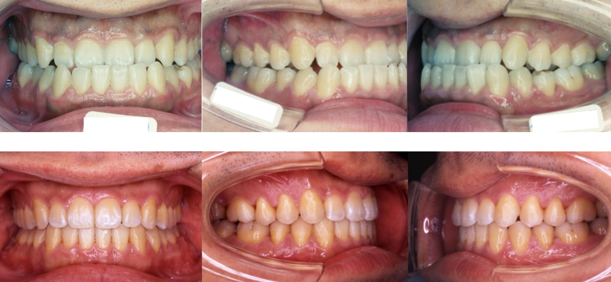
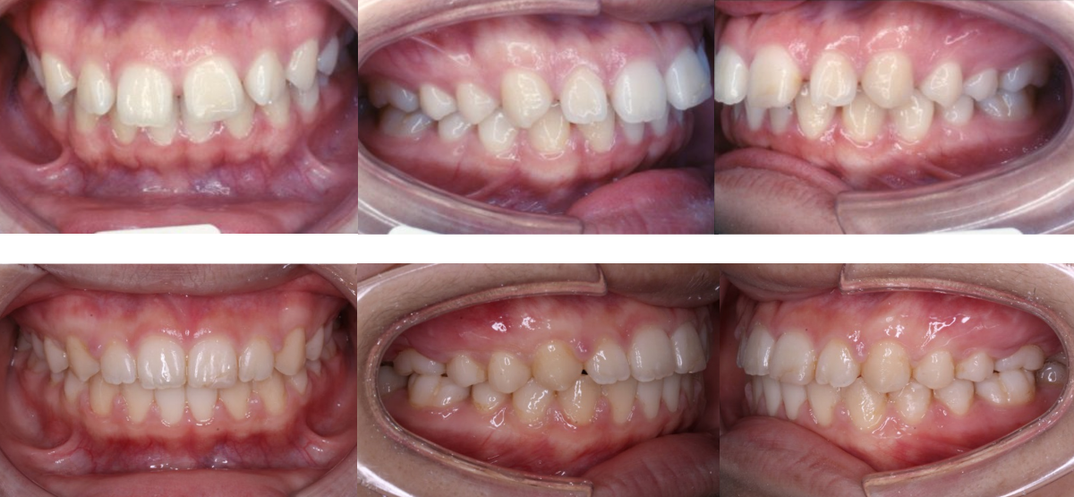
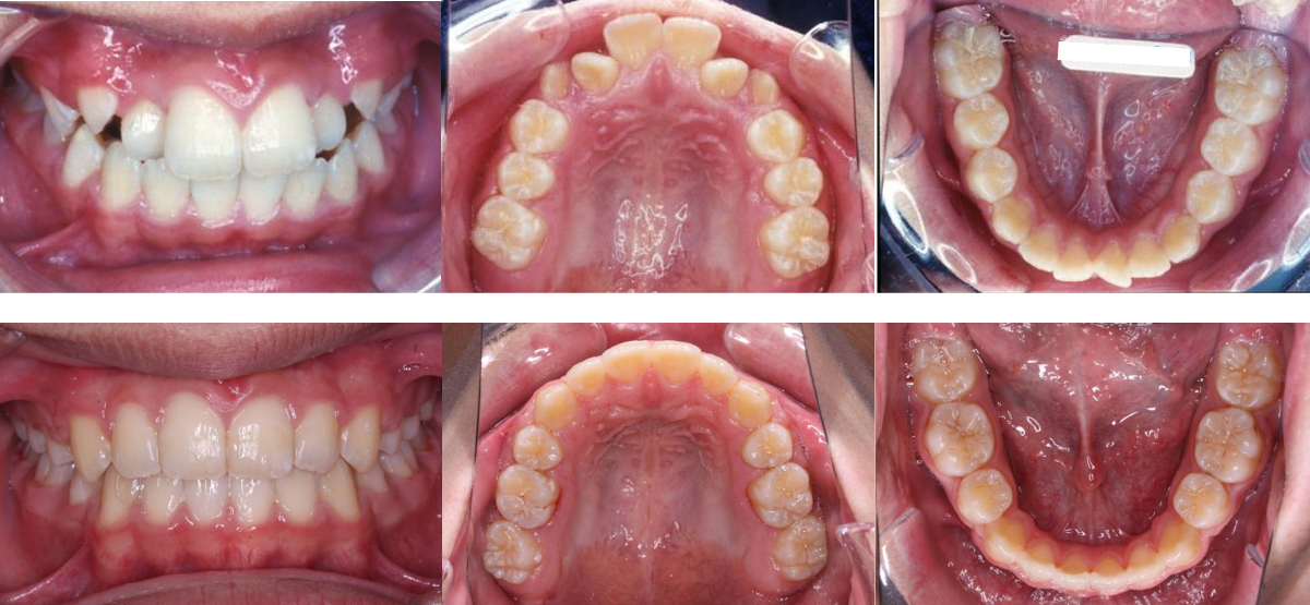
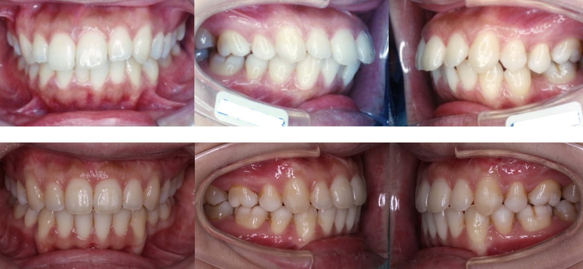
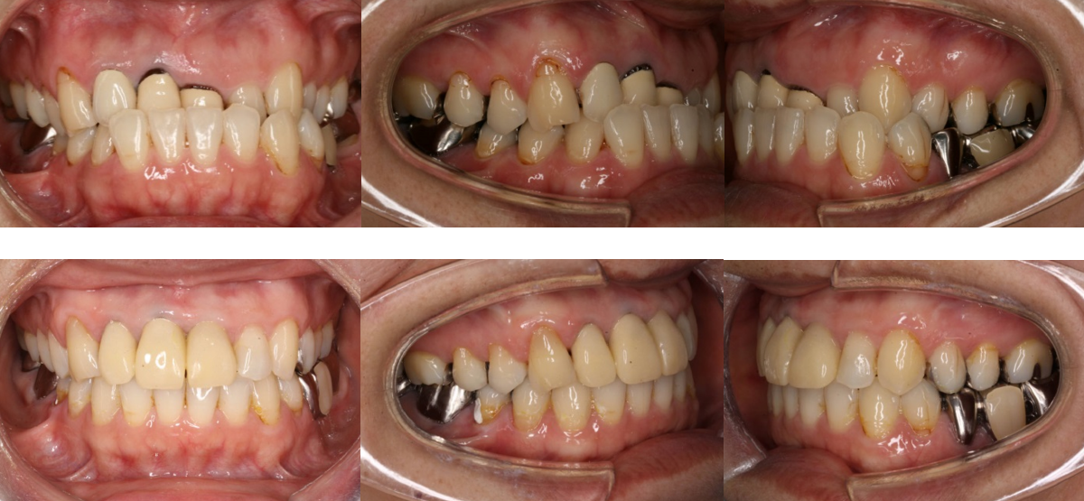
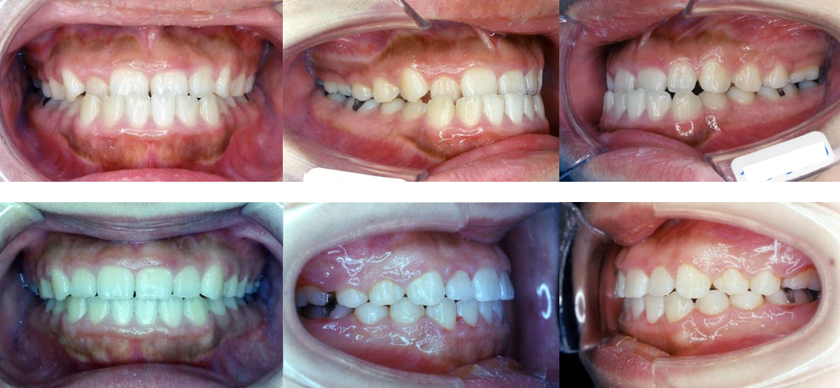
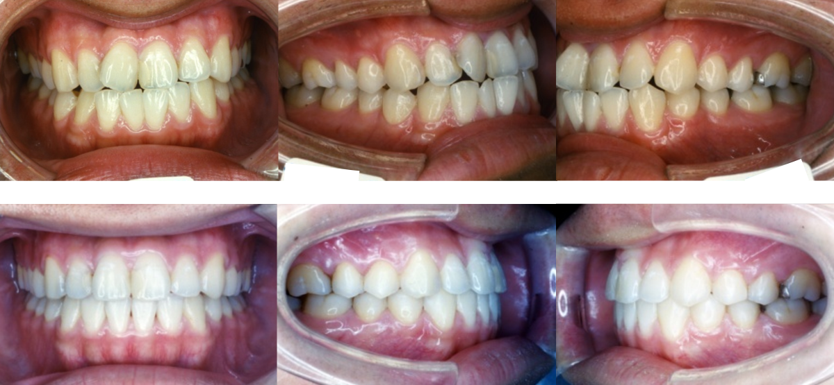
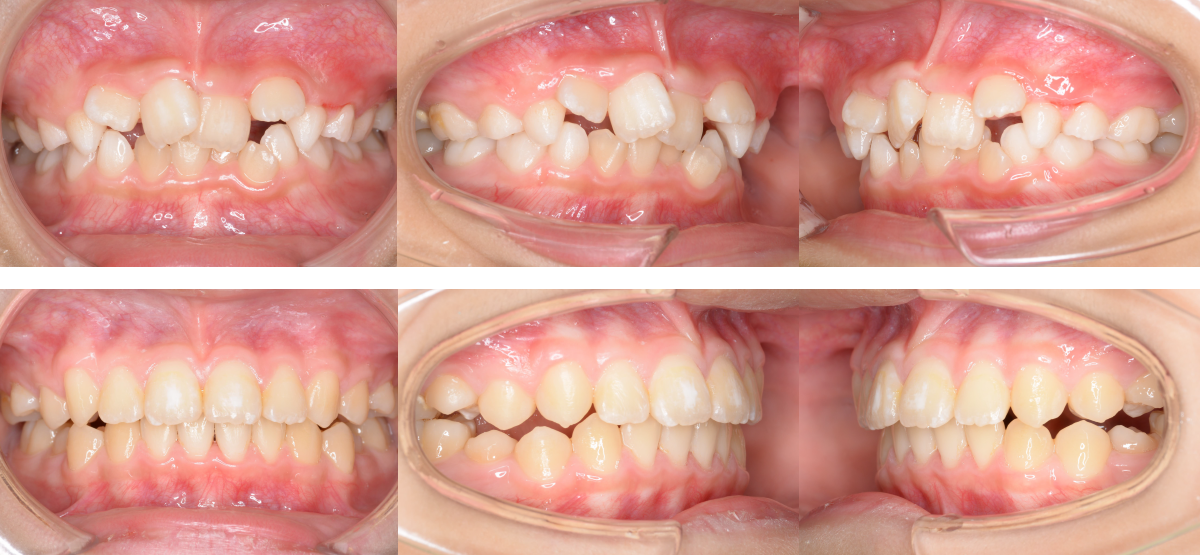
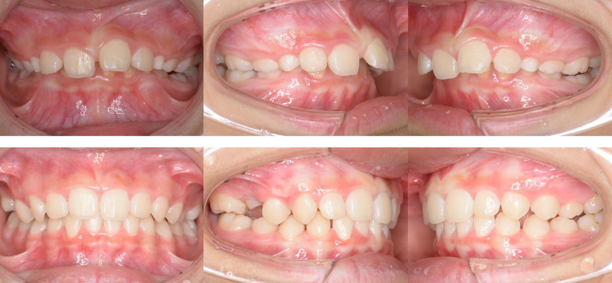
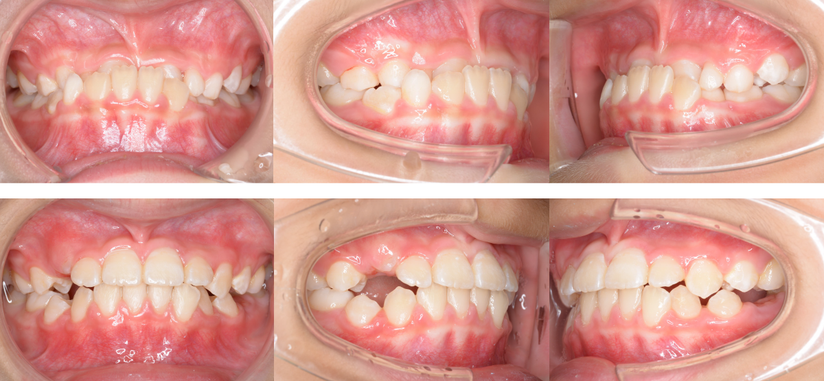
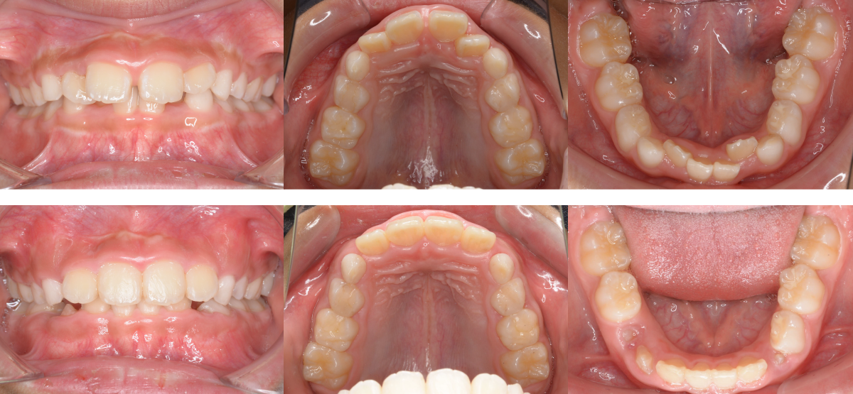
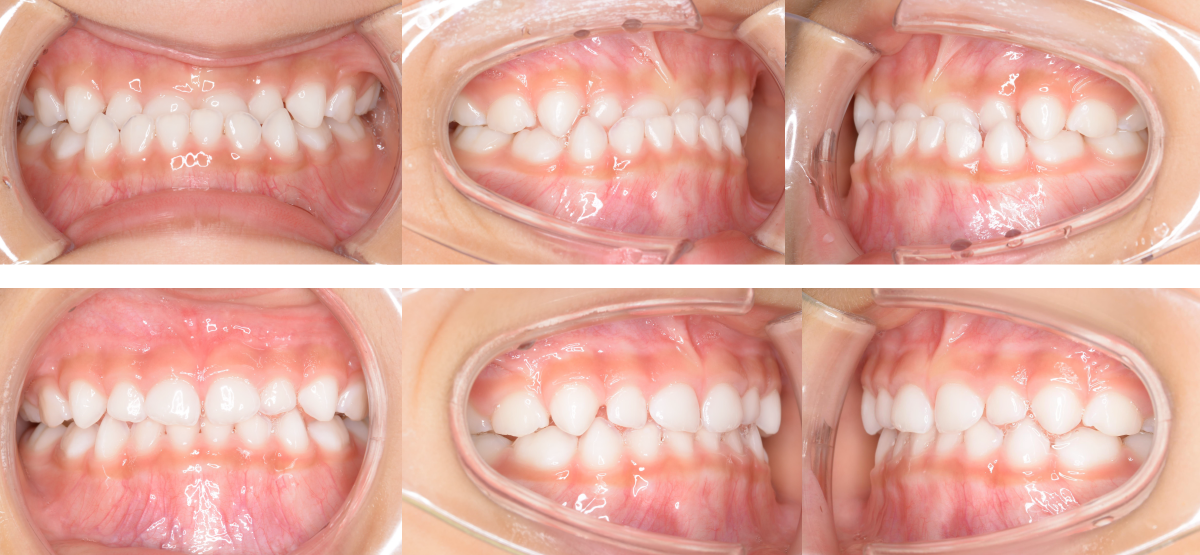
症例1・・・叢生(でこぼこ)の矯正治療例(30代女性・治療期間2年)

| 年齢・性別 | 30代女性 |
| 治療期間 | 2年 |
| 抜歯 | 上2本、下2本(小臼歯) |
| 治療費 | 約50万円(調整費、保定費まで含む総額制) |
| 備考 | インビザライン |
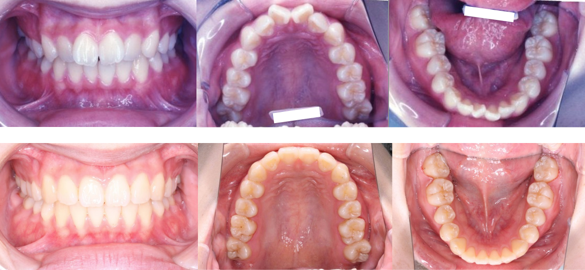
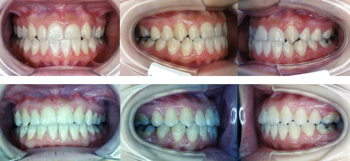
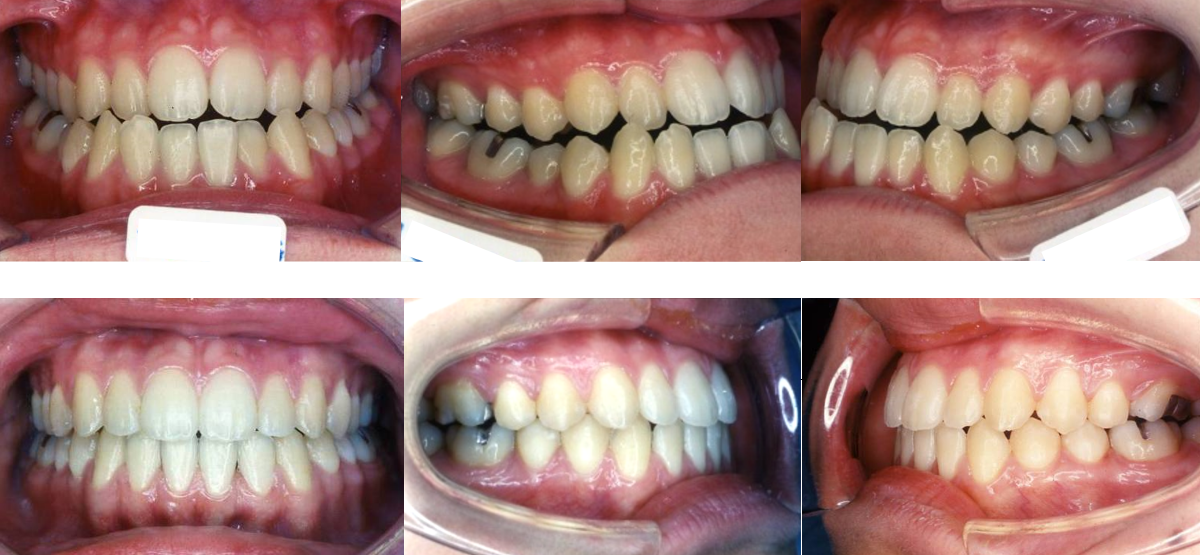
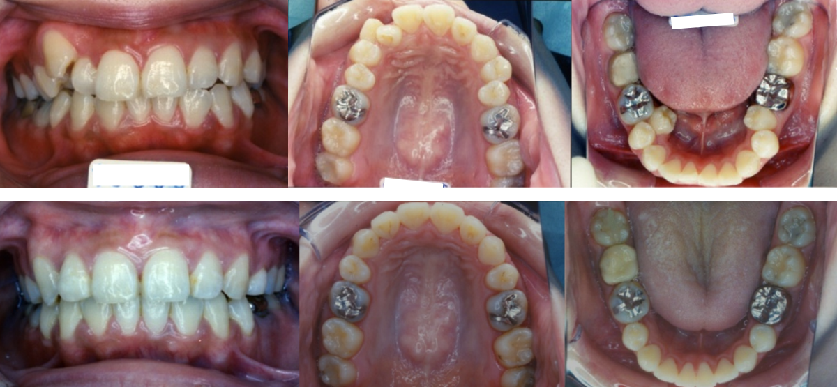
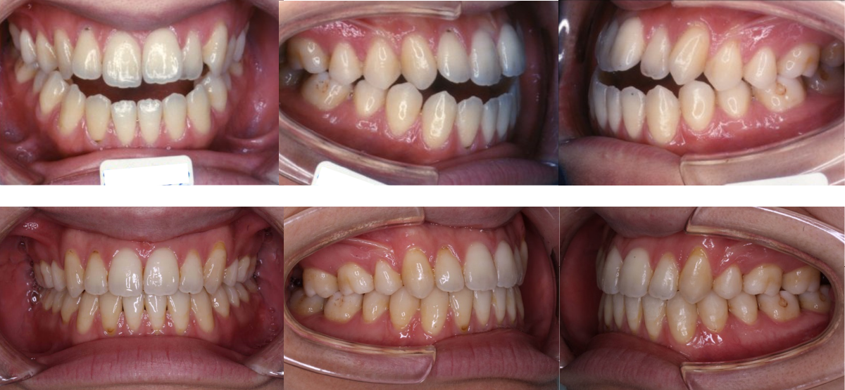
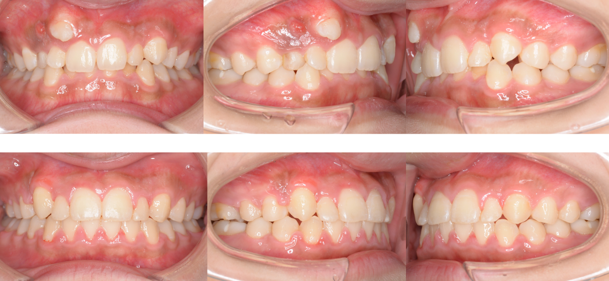
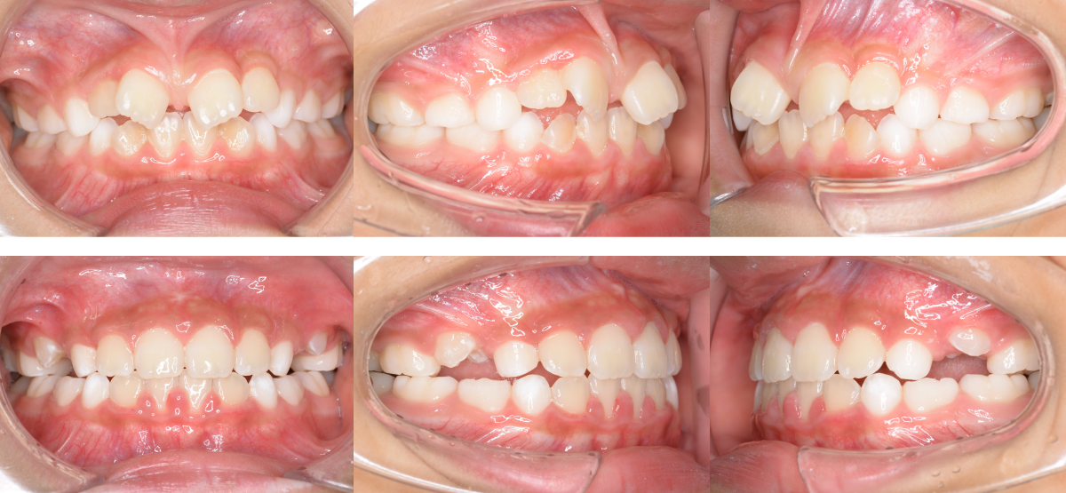
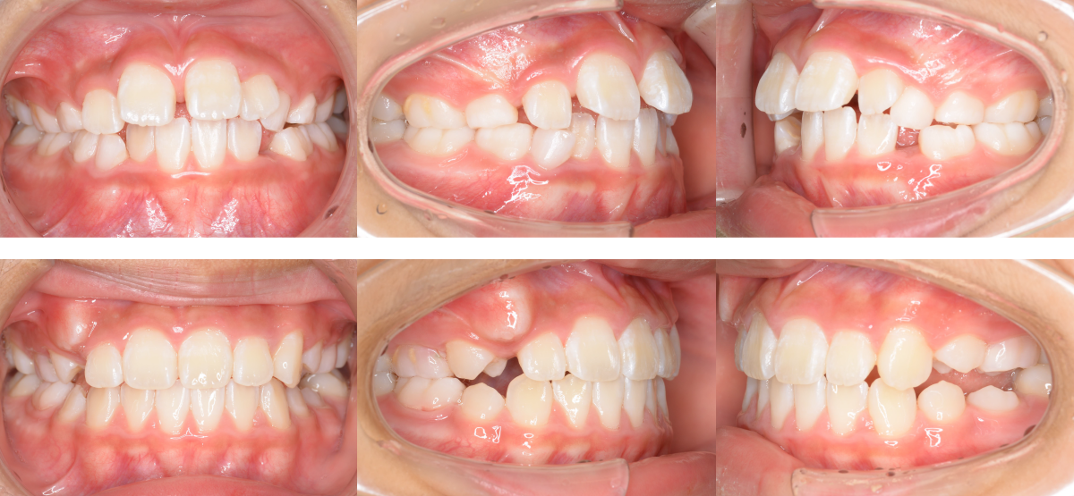
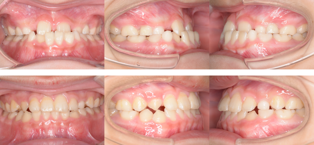
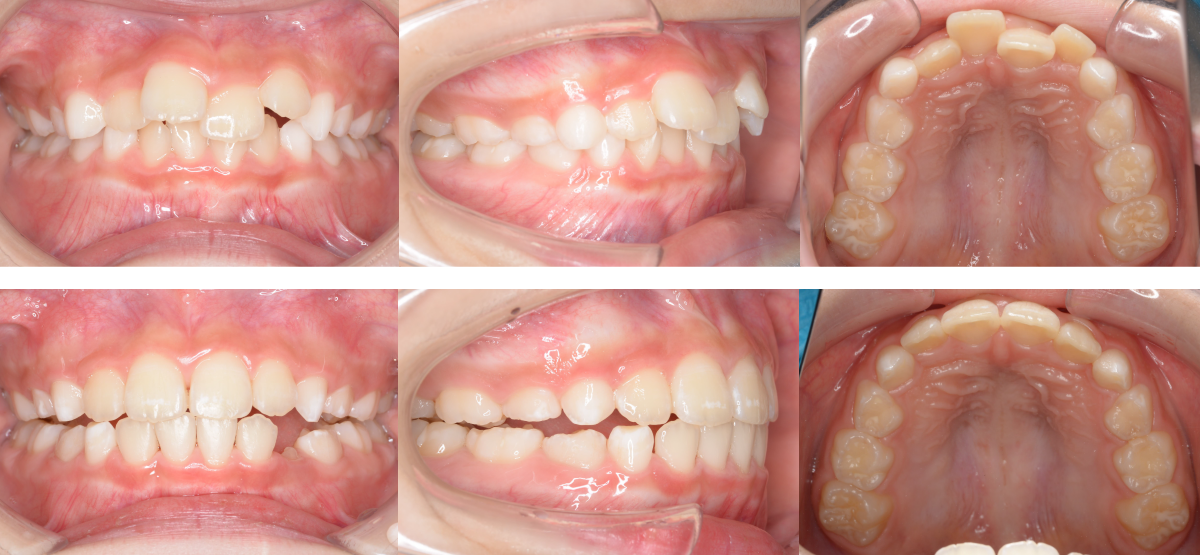
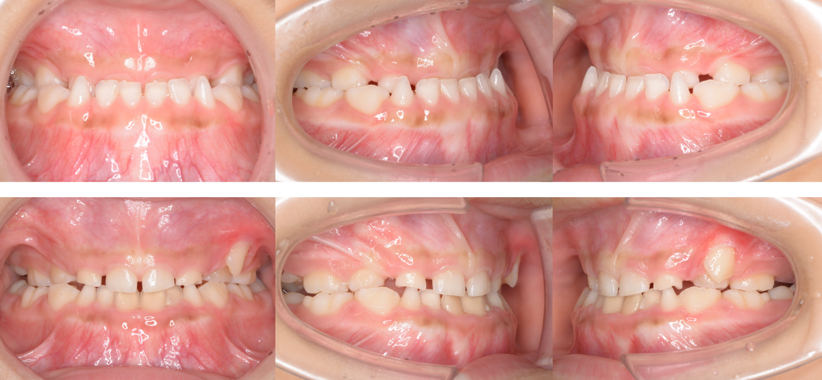
症例2・・・叢生(でこぼこ)の矯正治療例(20代女性・治療期間1年6か月)

| 年齢・性別 | 20代女性 |
| 治療期間 | 1年6か月 |
| 抜歯 | なし |
| 治療費 | 約50万円(調整費、保定費まで含む総額制) |
| 備考 | インビザライン |
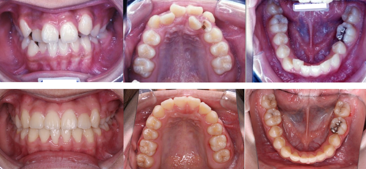
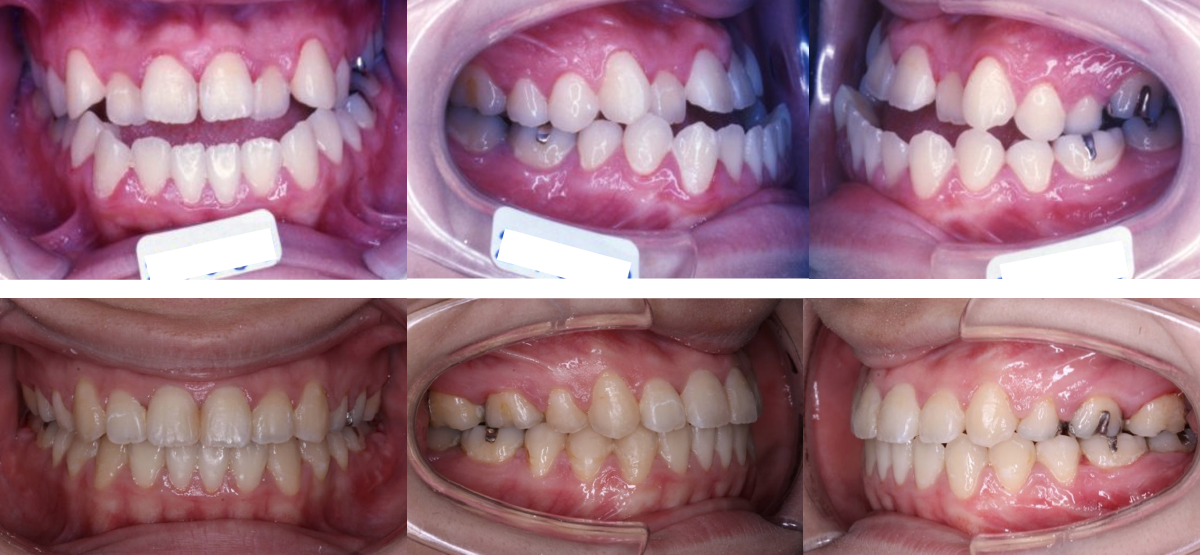
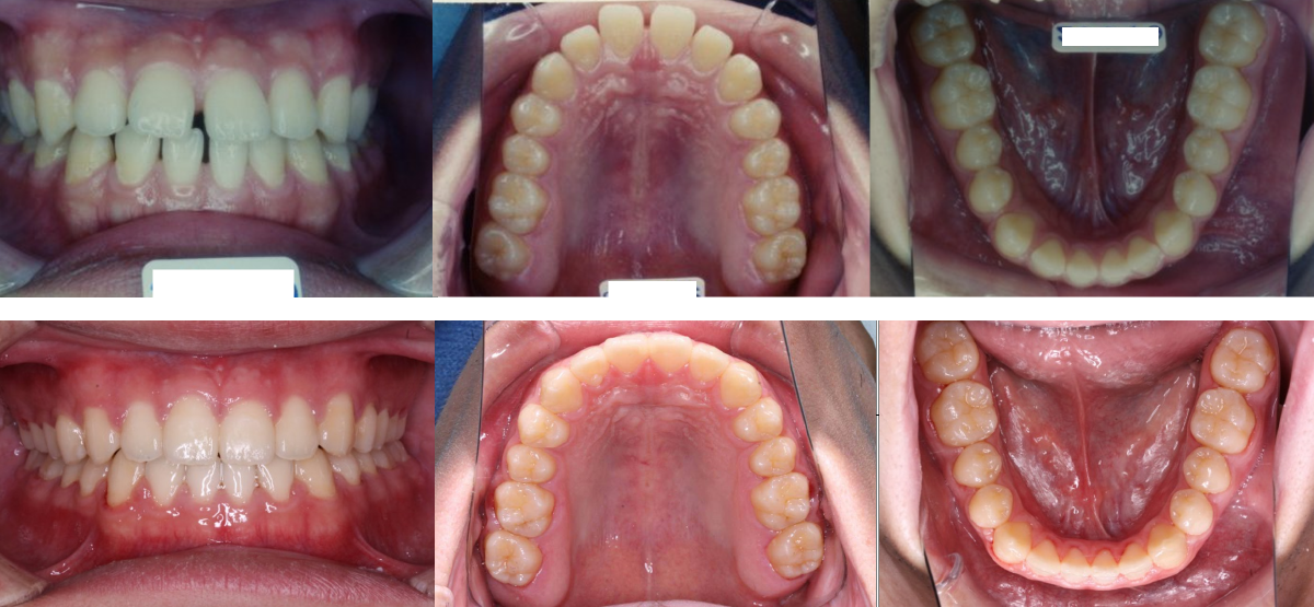
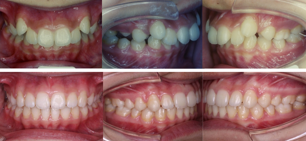
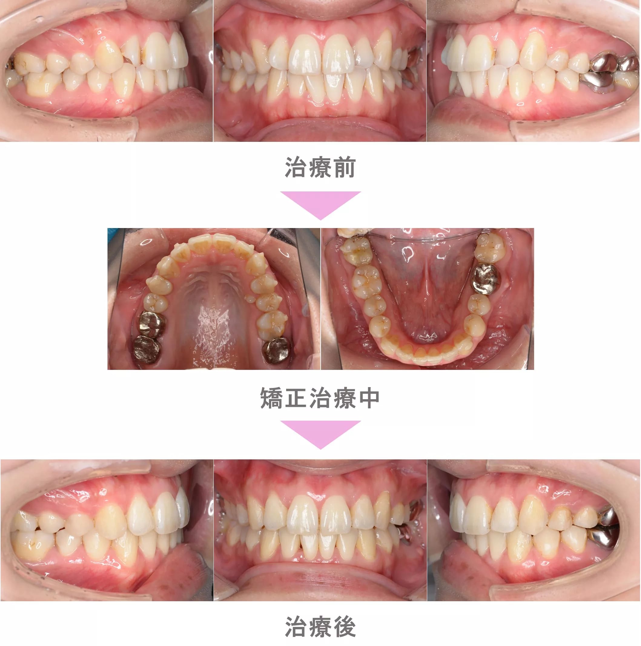
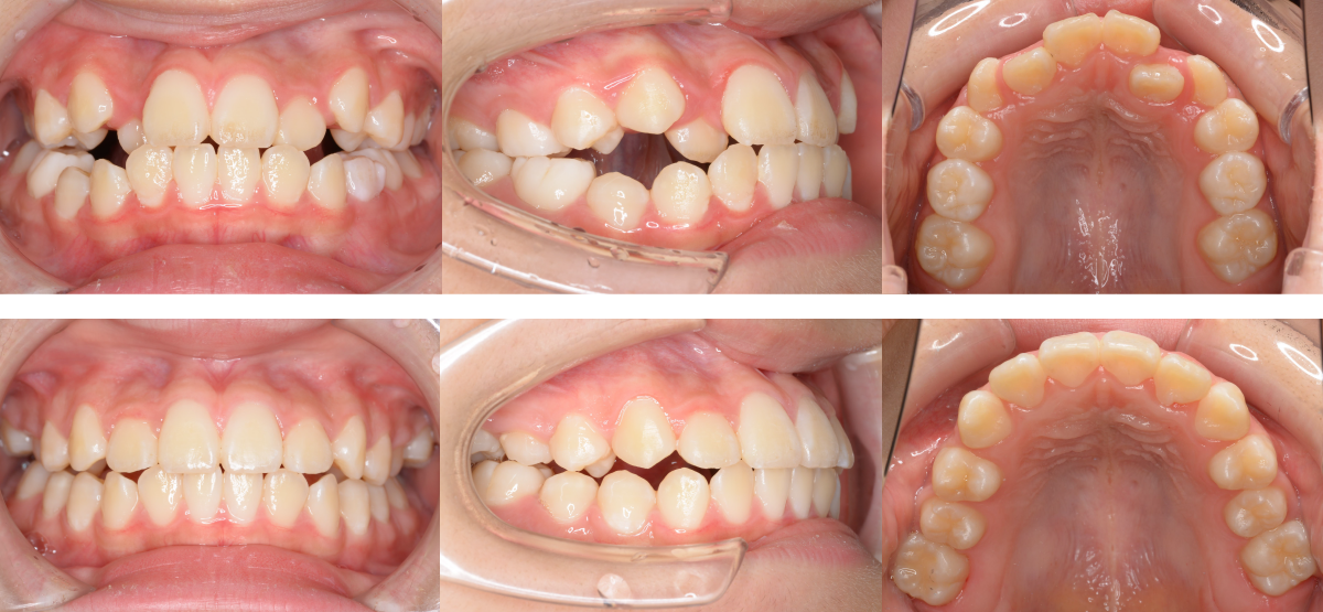
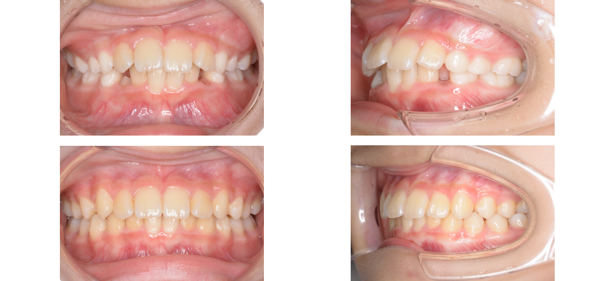
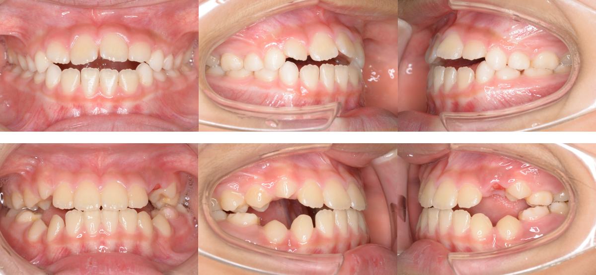
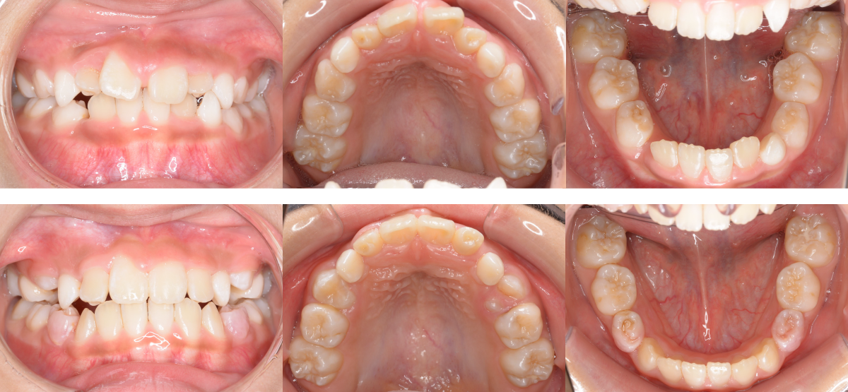
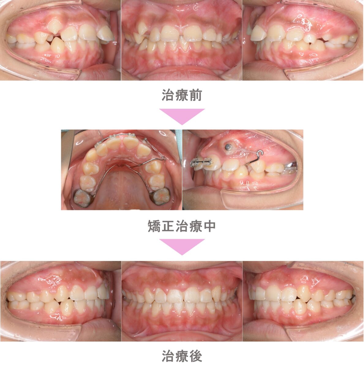
症例3・・・八重歯(犬歯突出)の矯正治療例(10代女性・治療期間1年9か月)

| 年齢・性別 | 10代女性 |
| 治療期間 | 1年9か月 |
| 抜歯 | 上1本、下1本(小臼歯)、左上乳犬歯 |
| 治療費 | 約50万円(調整費、保定費まで含む総額制) |
| 備考 | インビザライン |
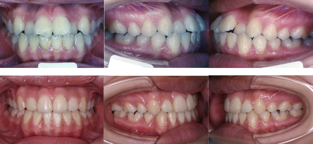
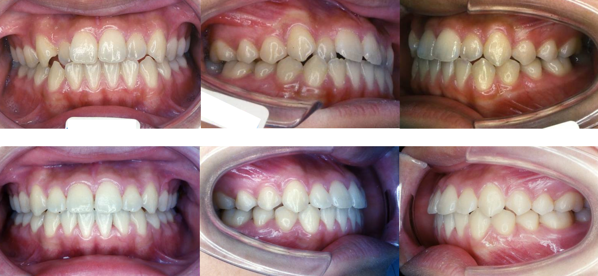
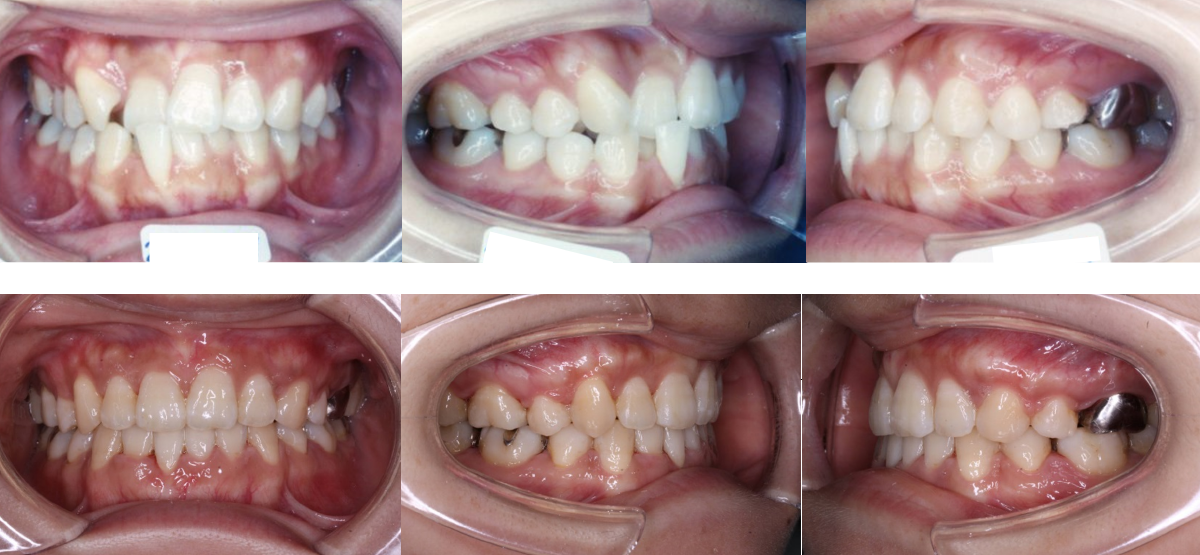
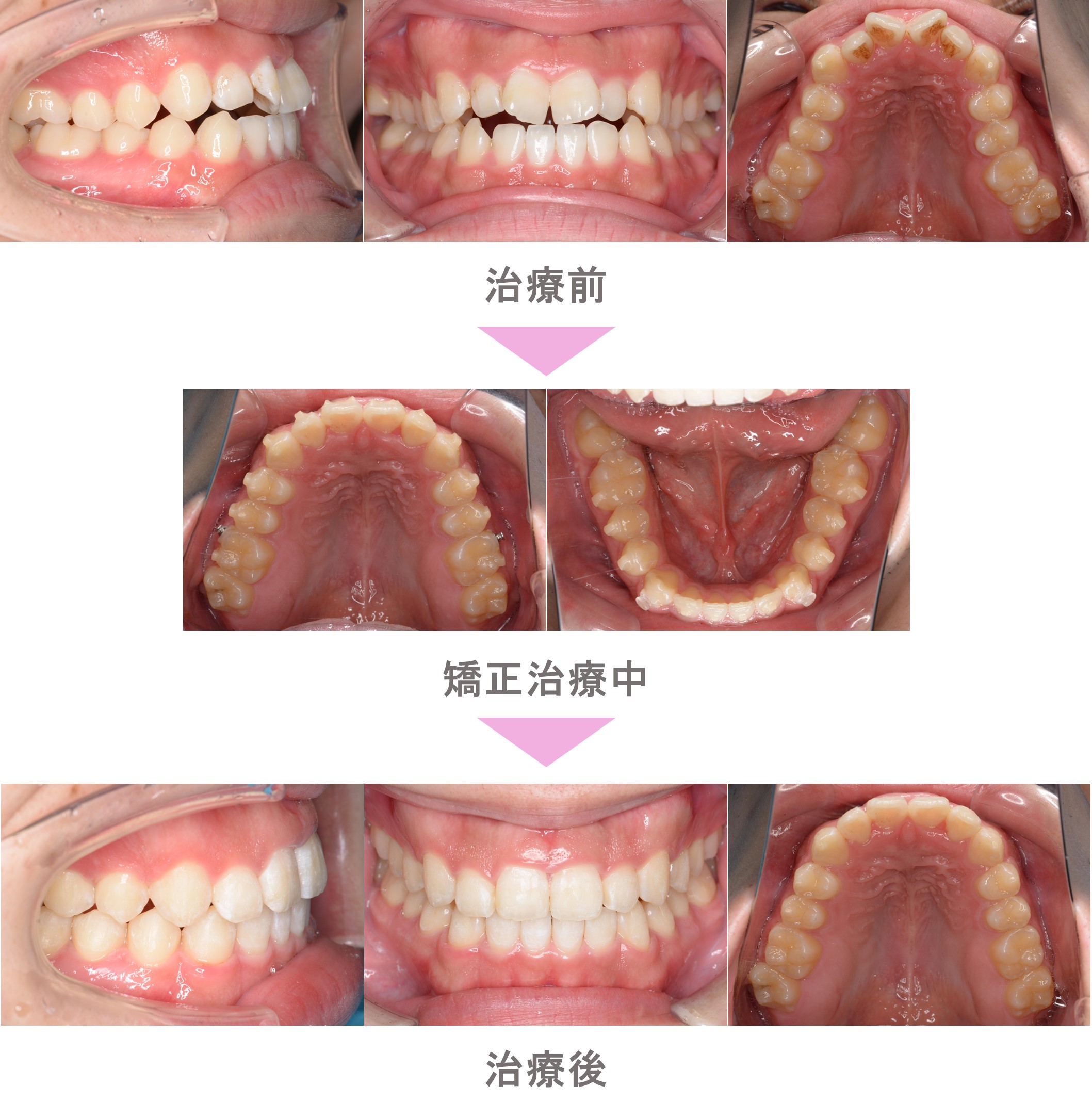
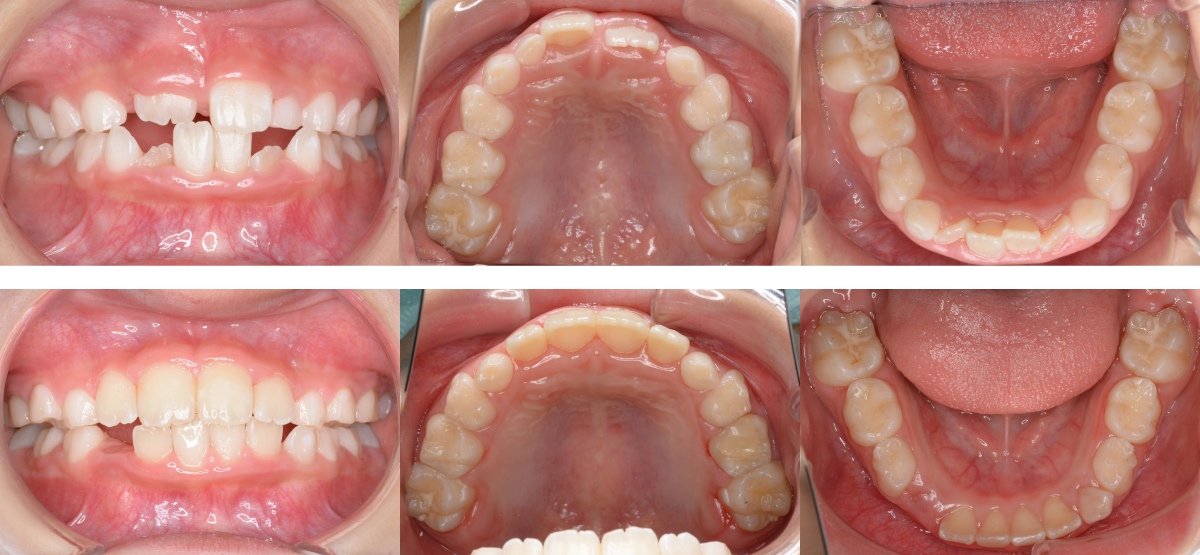
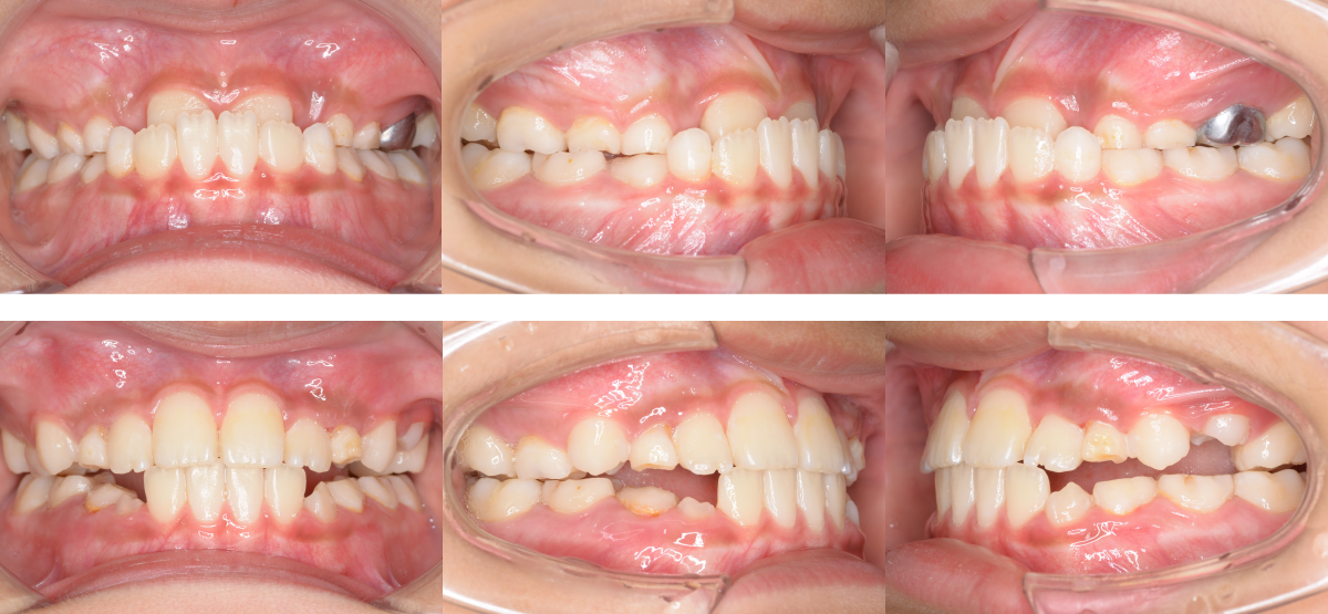
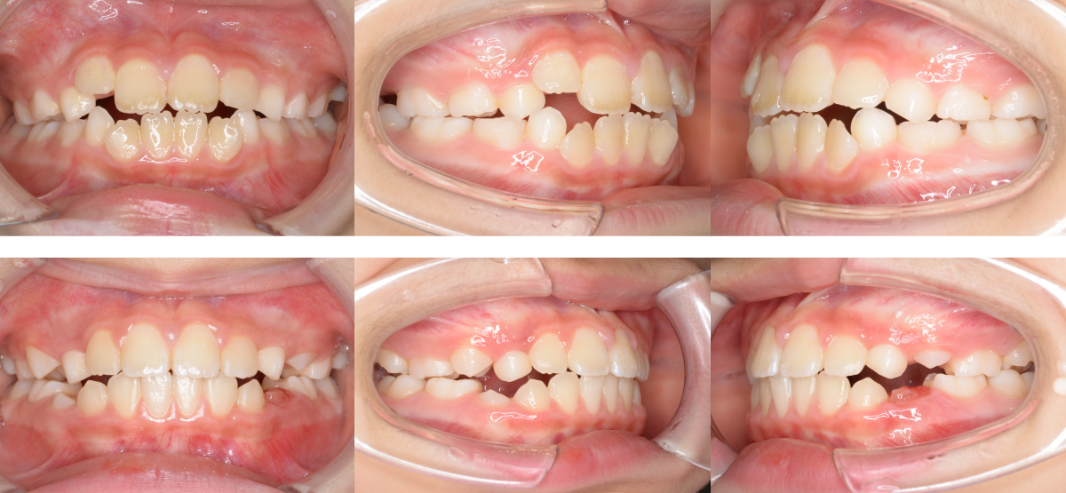
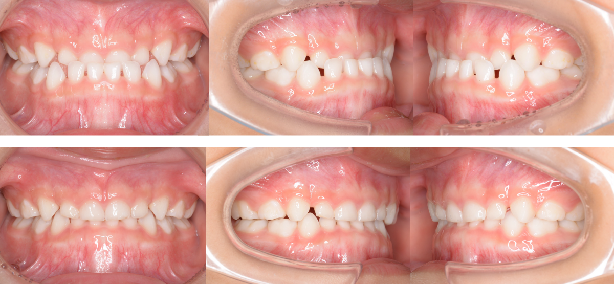
症例4・・・出っ歯(上顎前突)の矯正治療例(10代女性・治療期間2年2か月)

| 年齢・性別 | 10代女性 |
| 治療期間 | 2年2か月 |
| 抜歯 | 上2本、下2本(小臼歯) |
| 治療費 | 約50万円(調整費、保定費まで含む総額制) |
| 備考 | インビザライン |
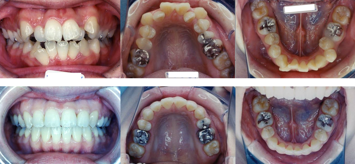
症例5・・・受け口(下顎前突)の矯正治療例(20代男性・治療期間2年3か月)

| 年齢・性別 | 20代男性 |
| 治療期間 | 2年3か月 |
| 抜歯 | なし |
| 治療費 | 約50万円(調整費、保定費まで含む総額制) |
| 備考 | インビザライン、インプラントで下顎遠心移動 |
症例6・・・受け口(下顎前突)の矯正治療例(10代女性・治療期間2年1か月)

| 年齢・性別 | 10代女性 |
| 治療期間 | 2年1か月 |
| 抜歯 | 下1本(小臼歯) |
| 治療費 | 約50万円(調整費、保定費まで含む総額制) |
| 備考 | インビザライン |
症例7・・・開咬の矯正治療例(10代女性・治療期間2年4か月)

| 年齢・性別 | 10代女性 |
| 治療期間 | 2年4か月 |
| 抜歯 | 上2本(小臼歯) |
| 治療費 | 約50万円(調整費、保定費まで含む総額制) |
| 備考 | インビザライン |
症例8・・・すきっ歯(空隙歯列)の矯正治療例(10代男性・治療期間1年3か月)

| 年齢・性別 | 10代男性 |
| 治療期間 | 1年3か月 |
| 抜歯 | なし |
| 治療費 | 約50万円(調整費、保定費まで含む総額制) |
| 備考 | インビザライン |
症例9・・・過蓋咬合(深噛み)の矯正治療例(20代女性・治療期間2年)

| 年齢・性別 | 20代女性 |
| 治療期間 | 2年 |
| 抜歯 | なし |
| 治療費 | 約50万円(調整費、保定費まで含む総額制) |
| 備考 | インビザライン、インプラントで前歯圧下、遠心移動 |
症例10・・・交叉咬合(すれ違い)の矯正治療例(10代女性・治療期間2年2か月)

| 年齢・性別 | 10代女性 |
| 治療期間 | 2年2か月 |
| 抜歯 | なし |
| 治療費 | 約50万円(調整費、保定費まで含む総額制) |
| 備考 | インビザライン |
症例11・・・交叉咬合(すれ違い)の矯正治療例(10代女性・治療期間1年)

| 年齢・性別 | 10代女性 |
| 治療期間 | 1年 |
| 抜歯 | なし |
| 治療費 | 約50万円(調整費、保定費まで含む総額制) |
| 備考 | インビザライン |
裏側矯正の症例
症例1・・・叢生(でこぼこ)の矯正治療例(30代女性・治療期間2年2か月)

| 年齢・性別 | 30代女性 |
| 治療期間 | 2年2か月 |
| 抜歯 | 上2本、下2本(小臼歯) |
| 治療費 | 約100万円(調整費、保定費まで含む総額制) |
| 備考 | 裏側矯正 |
症例2・・・叢生(でこぼこ)の矯正治療例(10代男性・治療期間1年7か月)

| 年齢・性別 | 10代男性 |
| 治療期間 | 1年7か月 |
| 抜歯 | 上2本、下2本(小臼歯) |
| 治療費 | 約90万円(調整費、保定費まで含む総額制) |
| 備考 | 裏側矯正 |
症例3・・・八重歯(犬歯突出)の矯正治療例(20代女性・治療期間2年1か月)

| 年齢・性別 | 20代女性 |
| 治療期間 | 2年1か月 |
| 抜歯 | 上2本、下2本(小臼歯) |
| 治療費 | 約100万円(調整費、保定費まで含む総額制) |
| 備考 | 裏側矯正 |
症例4・・・出っ歯(上顎前突)の矯正治療例(20代女性・治療期間2年4か月)

| 年齢・性別 | 20代女性 |
| 治療期間 | 2年4か月 |
| 抜歯 | 上1本、下2本(小臼歯) |
| 治療費 | 約100万円(調整費、保定費まで含む総額制) |
| 備考 | 裏側矯正、ガミースマイル、チルト改善 |
症例5・・・受け口(下顎前突)の矯正治療例(50代女性・治療期間2年2か月)

| 年齢・性別 | 50代女性 |
| 治療期間 | 2年2か月 |
| 抜歯 | なし |
| 治療費 | 約100万円(調整費、保定費まで含む総額制) |
| 備考 | 裏側矯正、QH拡大、歯冠長延長術、補綴物再作製 |
症例6・・・受け口(下顎前突)の矯正治療例(10代女性・治療期間2年)

| 年齢・性別 | 10代女性 |
| 治療期間 | 2年 |
| 抜歯 | なし |
| 治療費 | 約100万円(調整費、保定費まで含む総額制) |
| 備考 | 裏側矯正 |
症例7・・・開咬の矯正治療例(10代女性・治療期間2年2か月)

| 年齢・性別 | 10代女性 |
| 治療期間 | 2年2か月 |
| 抜歯 | 上2本(小臼歯) |
| 治療費 | 約100万円(調整費、保定費まで含む総額制) |
| 備考 | 裏側矯正 |
症例8・・・過蓋咬合(深噛み)の矯正治療例(10代女性・治療期間2年2か月)

| 年齢・性別 | 10代女性 |
| 治療期間 | 2年2か月 |
| 抜歯 | なし |
| 治療費 | 約100万円(調整費、保定費まで含む総額制) |
| 備考 | 裏側矯正、機械的矯正装置併用 |
症例9・・・交叉咬合(すれ違い)の矯正治療例(20代女性・治療期間2年5か月)

| 年齢・性別 | 20代女性 |
| 治療期間 | 2年5か月 |
| 抜歯 | 上2本、下2本(小臼歯) |
| 治療費 | 約100万円(調整費、保定費まで含む総額制) |
| 備考 | 裏側矯正 |
症例10・・・切端咬合(ぶつかる咬み合わせ)の矯正治療例(10代男性・治療期間1年2か月)

| 年齢・性別 | 10代男性 |
| 治療期間 | 1年2か月 |
| 抜歯 | なし |
| 治療費 | 約80万円(調整費、保定費まで含む総額制) |
| 備考 | 裏側矯正、ディスキング |
症例11・・・埋伏歯(埋まっている歯)の矯正治療例(女子学生・治療期間1年11か月)

| 年齢・性別 | 女子学生 |
| 治療期間 | 1年11か月 |
| 抜歯 | なし |
| 治療費 | 約80万円(調整費、保定費まで含む総額制) |
| 備考 | 上下とも裏側矯正、非抜歯 |
部分矯正の症例
症例1・・・出っ歯(上顎前突)の矯正治療例(20代女性・治療期間5か月)

| 年齢・性別 | 20代女性 |
| 治療期間 | 5か月 |
| 抜歯 | なし |
| 治療費 | 約20万円(調整費、保定費まで含む総額制) |
| 備考 | インビザライン |
症例2・・・叢生(前歯のでこぼこ)の矯正治療例(30代女性・治療期間1年5か月)

| 年齢・性別 | 30代女性 |
| 治療期間 | 1年5か月 |
| 抜歯 | なし |
| 治療費 | 約60万円(調整費、保定費まで含む総額制) |
| 備考 | インビザライン |
症例3・・・すきっ歯(空隙歯列)と切端咬合(ぶつかる咬み合わせ)の矯正治療例(20代男性・治療期間5か月)

| 年齢・性別 | 20代男性 |
| 治療期間 | 5か月 |
| 抜歯 | なし |
| 治療費 | 約30万円(調整費、保定費まで含む総額制) |
| 備考 | インビザライン |
症例4・・・叢生(前歯のでこぼこ)と切端咬合(ぶつかる咬み合わせ)の矯正治療例(10代男性・治療期間7か月)

| 年齢・性別 | 10代男性 |
| 治療期間 | 7か月 |
| 抜歯 | なし |
| 治療費 | 約30万円(調整費、保定費まで含む総額制) |
| 備考 | インビザライン |
症例5・・・叢生(前歯のでこぼこ)と歯肉退縮の矯正治療例(20代女性・治療期間7か月)

| 年齢・性別 | 20代女性 |
| 治療期間 | 7か月 |
| 抜歯 | なし |
| 治療費 | 約50万円(調整費、保定費まで含む総額制) |
| 備考 | インビザライン |
症例6・・・叢生(前歯のでこぼこ)の矯正治療例(中学生女子・治療期間4か月)

| 年齢・性別 | 中学生女子 |
| 治療期間 | 4か月 |
| 抜歯 | なし |
| 治療費 | 約18万円(調整費、保定費まで含む総額制) |
| 備考 | 裏側部分矯正 |
症例7・・・叢生(前歯のでこぼこ)の矯正治療例(60代女性・治療期間1年)

| 年齢・性別 | 60代女性 |
| 治療期間 | 1年 |
| 抜歯 | なし |
| 治療費 | 約33万円(調整費、保定費まで含む総額制) |
| 備考 | 裏側部分矯正 |
症例8・・・叢生(前歯のでこぼこ)の矯正治療例(30代女性・治療期間9か月)

| 年齢・性別 | 30代女性 |
| 治療期間 | 9か月 |
| 抜歯 | なし |
| 治療費 | 約48万円(調整費、保定費まで含む総額制) |
| 備考 | 裏側部分矯正 |
症例9・・・叢生(前歯のでこぼこ)の矯正治療例(20代女性・治療期間1年3か月)

| 年齢・性別 | 20代女性 |
| 治療期間 | 1年3か月 |
| 抜歯 | なし |
| 治療費 | 約20万円(調整費、保定費まで含む総額制) |
| 備考 | 裏側部分矯正 |
症例10・・・叢生(前歯のでこぼこ)の矯正治療例(20代女性・治療期間10か月)

| 年齢・性別 | 20代女性 |
| 治療期間 | 10か月 |
| 抜歯 | なし |
| 治療費 | 約30万円(調整費、保定費まで含む総額制) |
| 備考 | 裏側部分矯正 |
小児矯正の症例
症例1・・・子供(小児)の叢生の矯正治療例(8歳女児・治療期間1年6か月)

| 年齢・性別 | 8歳女児 |
| 治療期間 | 1年6か月 |
| 抜歯 | なし |
| 治療費 | 約37万円(調整費、保定費まで含む総額制) |
| 備考 | インビザラインファースト |
症例2・・・子供(小児)の叢生の矯正治療例(8歳男児・治療期間1年4か月)

| 年齢・性別 | 8歳男児 |
| 治療期間 | 1年4か月 |
| 抜歯 | なし |
| 治療費 | 約27万円(調整費、保定費まで含む総額制) |
| 備考 | インビザラインファースト |
症例3・・・子供(小児)の叢生の矯正治療例(10歳男児・治療期間1年5か月)

| 年齢・性別 | 10歳男児 |
| 治療期間 | 1年5か月 |
| 抜歯 | なし |
| 治療費 | 約27万円(調整費、保定費まで含む総額制) |
| 備考 | インビザラインファースト |
症例4・・・子供(小児)の叢生の矯正治療例(7歳女児・治療期間1年3か月)

| 年齢・性別 | 7歳女児 |
| 治療期間 | 1年3か月 |
| 抜歯 | なし |
| 治療費 | 約37万円(調整費、保定費まで含む総額制) |
| 備考 | インビザラインファースト |
症例5・・・子供(小児)の出っ歯の矯正治療例(9歳女児・治療期間1年8か月)

| 年齢・性別 | 9歳女児 |
| 治療期間 | 1年8か月 |
| 抜歯 | なし |
| 治療費 | 約37万円(調整費、保定費まで含む総額制) |
| 備考 | インビザラインファースト |
症例6・・・供(小児)の出っ歯の矯正治療例(9歳女児・治療期間1年2か月)

| 年齢・性別 | 9歳女児 |
| 治療期間 | 1年2か月 |
| 抜歯 | なし |
| 治療費 | 約27万円(調整費、保定費まで含む総額制) |
| 備考 | インビザラインファースト |
症例7・・・子供(小児)の出っ歯の矯正治療例(11歳女児・治療期間11か月)

| 年齢・性別 | 11歳女児 |
| 治療期間 | 11か月 |
| 抜歯 | なし |
| 治療費 | 約27万円(調整費、保定費まで含む総額制) |
| 備考 | インビザラインファースト |
症例8・・・子供(小児)の出っ歯の矯正治療例(10歳女児・治療期間1年6か月)

| 年齢・性別 | 10歳女児 |
| 治療期間 | 1年6か月 |
| 抜歯 | なし |
| 治療費 | 約37万円(調整費、保定費まで含む総額制) |
| 備考 | インビザラインファースト |
症例9・・・子供(小児)の受け口の矯正治療例(7歳男児・治療期間1年2か月)

| 年齢・性別 | 7歳男児 |
| 治療期間 | 1年2か月 |
| 抜歯 | なし |
| 治療費 | 約37万円(調整費、保定費まで含む総額制) |
| 備考 | インビザラインファースト |
症例10・・・子供(小児)の受け口の矯正治療例(8歳女児・治療期間1年3か月)

| 年齢・性別 | 8歳女児 |
| 治療期間 | 1年3か月 |
| 抜歯 | なし |
| 治療費 | 約37万円(調整費、保定費まで含む総額制) |
| 備考 | インビザラインファースト |
症例11・・・子供(小児)の受け口の矯正治療例(8歳男児・治療期間1年10か月)

| 年齢・性別 | 8歳男児 |
| 治療期間 | 1年10か月 |
| 抜歯 | なし |
| 治療費 | 約27万円(調整費、保定費まで含む総額制) |
| 備考 | インビザラインファースト |
症例12・・・子供(小児)の開咬の矯正治療例(7歳女児・治療期間1年3か月)

| 年齢・性別 | 7歳女児 |
| 治療期間 | 1年3か月 |
| 抜歯 | なし |
| 治療費 | 約37万円(調整費、保定費まで含む総額制) |
| 備考 | インビザラインファースト |
症例13・・・子供(小児)の開咬の矯正治療例(8歳女児・治療期間1年6か月)

| 年齢・性別 | 8歳女児 |
| 治療期間 | 1年6か月 |
| 抜歯 | なし |
| 治療費 | 約37万円(調整費、保定費まで含む総額制) |
| 備考 | インビザラインファースト |
症例14・・・子供(小児)のすきっ歯の矯正治療例(9歳男児・治療期間1年)

| 年齢・性別 | 9歳男児 |
| 治療期間 | 1年 |
| 抜歯 | なし |
| 治療費 | 約37万円(調整費、保定費まで含む総額制) |
| 備考 | インビザラインファースト |
症例15・・・子供(小児)のすきっ歯の矯正治療例(8歳女児・治療期間1年3か月)

| 年齢・性別 | 8歳女児 |
| 治療期間 | 1年3か月 |
| 抜歯 | なし |
| 治療費 | 約27万円(調整費、保定費まで含む総額制) |
| 備考 | インビザラインファースト |
症例16・・・子供(小児)の過蓋咬合の矯正治療例(7歳女児・治療期間1年1か月)

| 年齢・性別 | 7歳女児 |
| 治療期間 | 1年1か月 |
| 抜歯 | なし |
| 治療費 | 約37万円(調整費、保定費まで含む総額制) |
| 備考 | インビザラインファースト |
症例17・・・子供(小児)の過蓋咬合の矯正治療例(9歳女児・治療期間1年6か月)

| 年齢・性別 | 9歳女児 |
| 治療期間 | 1年6か月 |
| 抜歯 | なし |
| 治療費 | 約37万円(調整費、保定費まで含む総額制) |
| 備考 | インビザラインファースト |
症例18・・・子供(小児)の埋伏歯の矯正治療例(7歳男児・治療期間2年)

| 年齢・性別 | 7歳男児 |
| 治療期間 | 2年 |
| 抜歯 | なし |
| 治療費 | 約30万円(調整費、保定費まで含む総額制) |
| 備考 | 開窓牽引 |
症例19・・・子供(小児)の埋伏歯の矯正治療例(小学生女子・治療期間2年)

| 年齢・性別 | 小学生女子 |
| 治療期間 | 2年 |
| 抜歯 | なし |
| 治療費 | 約30万円(調整費、保定費まで含む総額制) |
| 備考 | 開窓牽引 |
症例20・・・子供(小児)の埋伏歯の矯正治療例(小学生女子・治療期間1年4か月)

| 年齢・性別 | 小学生女子 |
| 治療期間 | 1年4か月 |
| 抜歯 | なし |
| 治療費 | 約30万円(調整費、保定費まで含む総額制) |
| 備考 | 開窓牽引 |
プレオルソの症例
症例1・・・乳歯の受け口の矯正治療例(4歳女児・治療期間2か月)

| 年齢・性別 | 4歳女児 |
| 治療期間 | 2か月 |
| 抜歯 | なし |
| 治療費 | 約10万円(調整費、保定費まで含む総額制) |
| 備考 | プレオルソ |
症例2・・・乳歯の受け口の矯正治療例(4歳男児・治療期間3か月)

| 年齢・性別 | 4歳男児 |
| 治療期間 | 3か月 |
| 抜歯 | なし |
| 治療費 | 約8万円(調整費、保定費まで含む総額制) |
| 備考 | プレオルソ |
症例3・・・乳歯の受け口の矯正治療例(4歳女児・治療期間2か月)

| 年齢・性別 | 4歳女児 |
| 治療期間 | 2か月 |
| 抜歯 | なし |
| 治療費 | 約10万円(調整費、保定費まで含む総額制) |
| 備考 | プレオルソ |
症例4・・・乳歯の受け口の矯正治療例(6歳女児・治療期間2か月)

| 年齢・性別 | 6歳女児 |
| 治療期間 | 2か月 |
| 抜歯 | なし |
| 治療費 | 約10万円(調整費、保定費まで含む総額制) |
| 備考 | プレオルソ |
