二子玉川、世田谷で矯正歯科は二子玉川の当院まで


当院では、
歯列矯正を受けられる皆様に、少しでも安心して治療を受けていただけるように、
できるだけ細かなところまで配慮し精密な矯正治療を提供させていただいております。



インビザラインの実績「ダイヤモンドステータス」
ダイヤモンドドクターによる精密な治療
見えない「裏側矯正」の豊富な経験・知識・技術
表側矯正と変わらない質の裏側矯正


当院では、相談・検査 までの料金が「無料」となっています。また費用の総額を初めにお伝えする「トータルフィー制度(治療費定額制)」を採用しています。治療後2年保証もついており、治療期間が伸びても金額の変更はありません。


当院では、見えない裏側矯正(舌側矯正)や、薄さ0.5mmの透明な取り外しできるマウスピース矯正「インビザライン」、クリアブラケット矯正を基本とし、見えない・目立たない矯正治療に力を入れております。


当院では「大切な歯を抜きたくない」という思いに寄り添い、可能な限り「非抜歯」で矯正治療を行うようにしています。また、できるだけ治療期間を短縮できるような治療メニューもご用意させて頂いておりますので、まずはご相談ください。


従来の歯型取りでは、柔らかいシリコンを使用していましたが、これを噛み込むことが苦手な方にとって負担が大きい方法でした。光学スキャナでは、そのような方にも安心して歯型取りを受けていただけるようになりました。


当院では、矯正治療の治療期間をできる限り短くするだけでなく、通院回数を少しでも減らし、遠方からの患者様も無理なく通院できるよう、、来院間隔を4~16週間に1回の通院ですむよう治療計画を立案しています。


当院では矯正治療に伴う痛みや違和感、苦痛を可能な限り抑えるために、歯型取りの方法から、治療方法、さらに治療をよりスムーズに行うための機器をご用意するなど、できる限り矯正治療に伴う不快感や痛みを抑えた取り組みを行っています。
DOCTOR


はじめまして。院長の櫻井雄太と申します。
矯正治療によって歯並び・噛み合わせを整えることは、さまざまな効果につながります。
自分に自信が持てるようになったり、積極的になれたり、メンタル面への効果も期待できるでしょう。
私自身も矯正治療を経験し、歯並びが綺麗になってコンプレックスが改善される喜びを実感した一人です。「この喜びを皆様に共感して欲しい」という気持ちで、日々矯正治療に取り組んでいます。
目立たない矯正治療

審美性と機能性

非抜歯へのこだわり


2004年
東京歯科大学歯科臨床研修修了
2005年
東京歯科大学歯科矯正学講座入局
2008年
渡辺矯正歯科(吉祥寺)勤務
2010年
アップル歯列矯正歯科自由が丘勤務
2013年
当院開設 ~ 現在に至る
所属学会・資格
マウスピース型矯正(インビザライン)は、患者さま一人おひとりの歯列に合わせて作製するマウスピース型の装置を使った矯正治療です。マウスピース型の装置は、透明でとても薄いため、至近距離でじっくりと口もとを見られない限り、矯正治療中だと気づかれることはほとんどありません。また、ブラケットとワイヤーを使った一般的な矯正装置とは異なり、患者さまご自身で装置を着脱できるのが大きな特徴です。食事やハミガキの際には取り外せるので、装置を気にすることなく好きなものを食べられますし、これまで通りハミガキも行えます。さらに、矯正装置によるお口の中の異物感や歯の移動による痛みもほとんどないため、ストレスを軽減できる矯正治療です。
※インビザラインは薬機法対象外の矯正歯科装置であるため、医薬品副作用被害救済制度の対象外となる場合があります。
従来のワイヤー矯正とは違って、マウスピース矯正では装置が透明なので、他の人に気づかれにくいというメリットがあります。そのため、見た目を気にすることなく治療を受けることができます。

マウスピースはお食事の時にご自身で外すことができます。 また、ハミガキの際も、ご自身で取り外しが可能です。

マウスピース矯正は、弱く一定の力で歯を動かし、従来のワイヤー矯正と比べ、矯正治療中の痛みが少ないメリットがあります。
固定式のワイヤー矯正置では、治療中、装置が部分的に外れてしまうといったトラブルの可能性がゼロにはできません。その点、マウスピース矯正では、元々、ご自身で着脱可能で、外れ歯科医院に駆け込むといった心配がありません。

マウスピースは金属ではないため、金属アレルギーがあるために矯正治療を躊躇していた方も、安心して治療を受けていただくことができます。

マウスピースはご自身で着脱できますから、マウスピースを外して、装置もお口の中もキレイにすることができるので衛生的です。

治療期間は、従来のワイヤー矯正治療と比べ、さほど変わりませんが、通院回数は、ワイヤー矯正のように毎月の調整が必要ではないため、2か月に1回の通院で済みます。
マウスピース矯正では、叢生、開咬、すきっ歯、出っ歯など様々な症例に対応可能で、また、非抜歯矯正や、スピード矯正、部分矯正、小児矯正にも対応可能です。
「インビザライン・ファースト」は、6歳~10歳のお子様 = 混合歯列期に行う「1期治療」が対象のプランです。永久歯の生えるスペースの拡大と併せて、歯並びをきれいに並べることも行える矯正治療です。
「インビザライン・ティーン」は、11歳~16歳くらいのお子様 = 全て永久歯になっている「2期治療」に適したプランです。 多感な10代の方にも、目立ちにくいマウスピース矯正を選択することで、他人の目が気になりにくいなどのメリットを得られます。
「インビザライン・ライト」は、比較的軽度な症状の方を対象としたプラン。「インビザライン・エクスプレス」は、インビザライン・ライトを使用するケースよりも、さらに軽い症例を対象としたプランです。
「インビザライン・コンプリヘンシブ」は、基本的にあらゆる症例に対応可能なインビザライン矯正。「インビザライン・モデレート」は、インビザライン・コンプリヘンシブとインビザライン・ライトの間に治療目標を置く患者様向けのプランです。
当院での歯型取りは「iTero(アイテロ)」というシステムでスキャンする方式で行っています。





光加速矯正装置「オーソパルス(オルソパルス)」とは、歯列矯正の治療期間を短縮するあめの機器です。
近赤外線が細胞内のミトコンドリアに作用し、代謝を向上させたり、組織の治癒を促進します。





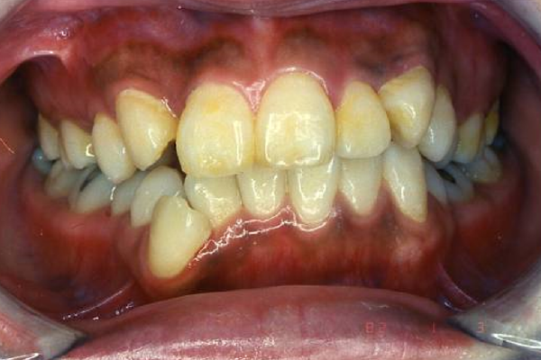
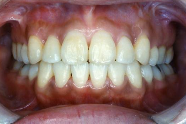
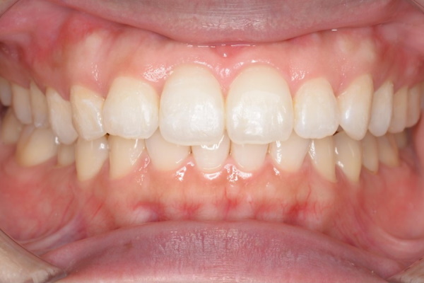
マウスピース矯正を
終了した患者様の


| 主訴 | デコボコの歯を治したい |
| 治療方法 | マウスピース矯正 |
| 治療期間 | 2年 |
| 費用 | 約50万円 |
| リスク・副作用 | 装着時に違和感を感じることがある |
お一人おひとりのお口の状態や症状に合わせ
適した方法をご提案させていただきます
| 初診相談 | 無 料 |
|---|---|
| 精密検査 | 無 料 |
| 診断料 | 30,000円(税込 33,000円) |
| マウスピース 矯正装置 |
500,000円(税込 550,000円) |
当院のマウスピース矯正は
分割払いが可能です!
のお支払いで
マウスピース矯正が始められます!
当院では「イオンプロダクトファイナンス」と提携を結び、矯正治療の保険外治療費をWebからのお申込手続きだけでご利用いただける分割制度「デンタルローン」を導入しております。下記は、インビザライン矯正を、24回払い(2年)、36回払い(3年)、48回払い(4年)、60回払い(5年)、84回払い(7年)を行った場合の金額になります。
横にスワイプしてご覧ください。
| 24回 | 36回 | 48回 | 60回 | 72回 | 84回 | ||
|---|---|---|---|---|---|---|---|
| インビザライン ※50万円の場合 | 初 回 | 23,765円 | 16,131円 | 14,424円 | 14,242円 | 14,887円 | 7,758円 |
| 2回目以降 | 21,600円 | 14,700円 | 11,200円 | 9,100円 | 7,700円 | 6,800円 |
*保険治療適用外の自由診療です
全て含みます!


初回矯正相談は無料です。
お気軽にお問い合わせください!
矯正治療で、歯並びや口元、側貌などの見た目を良くしたいと願う方にとって、表側からギラギラと見えて目立てしまう矯正装置には、少々抵抗があるといった感覚を持つ方は少なくありません。また、他人に分からないように治したいという方も多いという現状があります。そのような方にとって裏側矯正(舌側矯正)は、歯の裏側に矯正装置を装着するので、表からはまず見えることはなく、より良い選択肢といえます。この裏側矯正(舌側矯正)で使用する裏側矯正装置にも色々な製品がありますが、当院では、ブラケットの大きさがとても小さく、薄い作りで、従来のものよりも違和感を抑え、摩擦抵抗が少なく痛みも抑えた「クリッピーL」という裏側矯正装置を採用しています。
※当院では裏側矯正の経験が豊富で、高度な技術により、表側矯正と変わらない精度と治療期間で裏側矯正を行うことが可能です。当院の裏側矯正(舌側矯正)では、患者さまに選ばれている明確な特徴があります。





矯正装置が見えないため、お仕事や、成人式, 結婚式など大切なイベントでも、矯正装置をしている見た目のことをほとんど気にせずに過ごせます。
裏側矯正(舌側矯正)では、奥歯を動きにくくすることができるので、前歯をしっかり後方に引っ張って移動させることができます。
表側矯正では、お食事中に食べ物が絡まりやすいですが、裏側矯正(舌側矯正)では、この確率がかなり減少し、お食事の快適さが増します。
ラグビーやサッカーなど身体的接触が頻繁に起こるスポーツ、トランペットなどの管楽器をされている場合にも、裏側矯正なら安心です。
裏側矯正(舌側矯正)の場合は今の歯並びが見えないということはありませんので、歯ならびが整っていく様子を実感しやすくなります。
歯の裏側は表側よりもエナメル質が厚くなっていたり、唾液腺が多く、静菌作用や殺菌作用によって、虫歯になりにくいとされています。
表側矯正では、矯正装置除去時に、歯の表側のエナメル質に、微細な傷ができてしまうことがありますが、裏側矯正では、そのリスクはありません。
裏側矯正では、舌に矯正装置が触れる違和感で歯を押しだす癖が改善しやすく、治療が終わったあとも後戻りしにくくなります。
裏側矯正であれば、装置が見えないため、見た目を気にする必要がありません。クラスメイトにもほとんど気づかれずに歯並びを整えられます。
裏側矯正では、治療中も歯のホワイトニングを受けることができるので、歯の白さを維持したい方には適した治療法です。
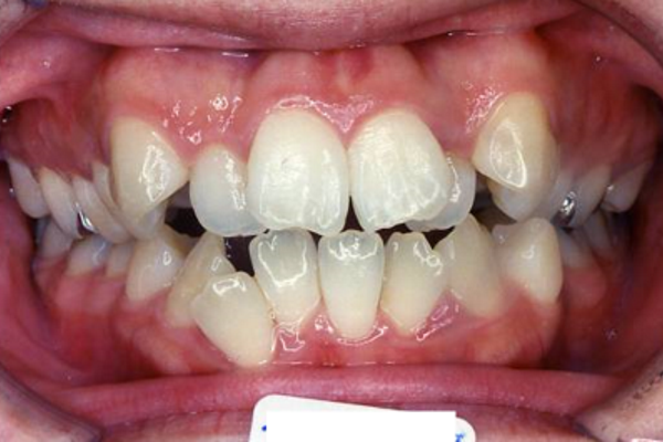
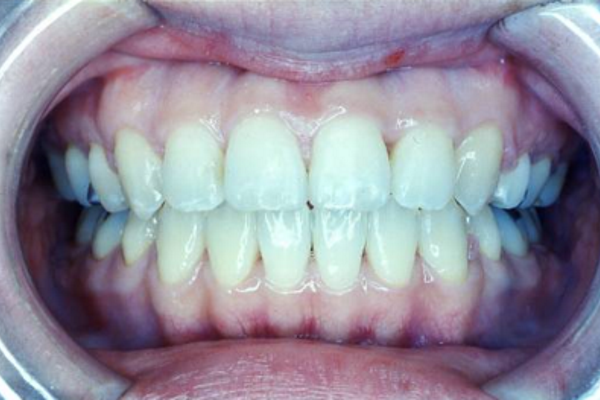
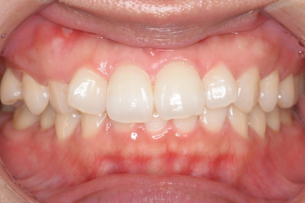
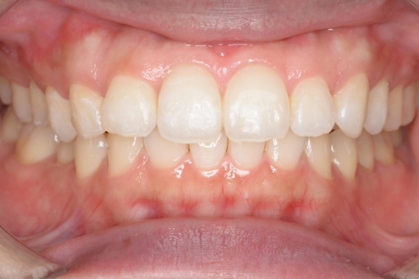
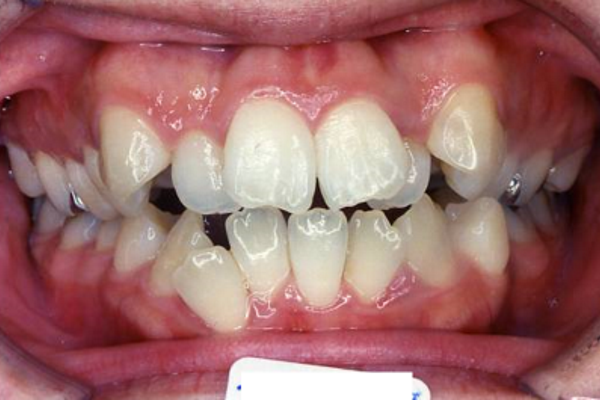
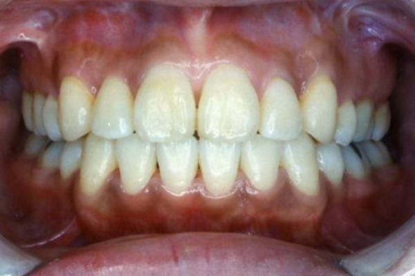
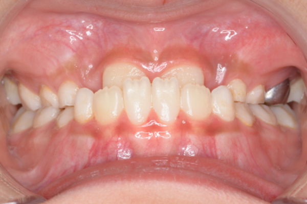
裏側矯正を終了した患者様の


| 主訴 | 叢生をキレイに治したい |
| 治療方法 | 裏側矯正 |
| 治療期間 | 2年2か月 |
| 費用 | 約100万円 |
| リスク・副作用 | 装着時に違和感を感じることがある |
お一人おひとりのお口の状態や症状に合わせ
適した方法をご提案させていただきます
全て含みます!
通院の度に診療費がかかるのでは不安という方へ。
当院では矯正治療の費用だけでなく、
毎月の調節料、後戻り防止のための
リテーナーなども全て含んだ治療費定額制です。
それ以外の費用は発生しません。

当院では「イオンプロダクトファイナンス」と提携を結び、保険外治療費をWebからのお申込手続きだけでご利用いただける分割制度「デンタルローン」を導入しております。下記は、裏側矯正を、24回払い(2年)、36回払い(3年)、48回払い(4年)、60回払い(5年)、72回払い(6年)を行った場合の金額になります。
横にスワイプしてご覧ください。
| 24回 | 36回 | 48回 | 60回 | 72回 | 84回 | ||
|---|---|---|---|---|---|---|---|
| 裏側矯正 ※81万円の場合 | 初 回 | 36,015円 | 26,622円 | 20,734円 | 19,651円 | 15,172円 | 13,896円 |
| 2回目以降 | 35,100円 | 23,800円 | 18,200円 | 14,800円 | 12,600円 | 11,000円 |
全て含みます!


初回矯正相談は無料です。
お気軽にお問い合わせください!
部分矯正は、少しだけ歯並びの悪い前歯に治療範囲を限定して、
コンプレックスとなっている歯並びをきれいにする矯正治療です。
全体の矯正治療よりも短い治療期間で、治療費用も安く抑えられるメリットがあります。
Point前歯に限定
Point短い治療期間
Point治療費が安い



前歯が少し
ねじれてるのを
治したい。

前歯がでこぼこ
気になる部分だけ
治したい。

前歯の隙間が
気になるけど、
ワイヤーは嫌。

昔矯正したけど
後戻りしたのを
治したい。

ワイヤー矯正の
様に治療費が
高いのは困る。

治療が長期に
なってしまうのは
避けたい。
部分矯正という選択肢は、「ここだけ治したい」「気軽に治したい」というあなたに合ったチョイスかもしれません。


01
部分矯正は、前歯だけを動かす矯正治療ですので、全顎の矯正治療と比べ、治療期間は短くなり、治療期間は最短で3ヵ月半程度となります。さらに前歯は奥歯に比べ動きやすいことから、そのことも治療期間が短くなる一因です。

02
部分矯正は、全顎の矯正治療に比べ、矯正治療にかかる費用が約半額程度で済みます。また、当院では、矯正治療にかかる治療費は治療費定額制ですので、それ以外に追加の費用は一切かからないことも、患者様にとってのメリットとなるでしょう。

03
当院の部分矯正ではマウスピース型の矯正装置を使用することもあり、また前歯だけを移動するため、移動する歯の本数が少なく、痛みは少なくなります。このように矯正治療に伴う痛みが少ないことも患者様にとってのメリットといえるでしょう。

04
口元の見た目や印象が気になるという方にとって、適した矯正治療といえます。矯正中でも、今までと変わらない口元の見た目で写真を撮ったり、思い出を残すことが可能です。矯正中でも口元の見た目や印象が気になる方に適した治療方法といえます。

05
マウスピース矯正の場合は、矯正装置を取り外せますので、毎日のケアが楽です。また、部分的であることも、ケアが楽な要因です。裏側の装置の場合は、少なくとも、他人から見える表側のケアがしやすいのもメリットであるといえます。

06
当院は世界トップシェア、アライン・テクノロジー社のマウスピース矯正「インビザライン」のダイヤモンドドクターが在籍しています。


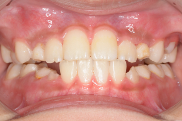
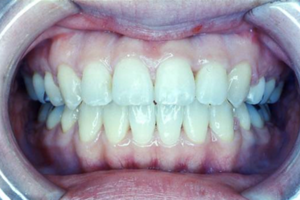
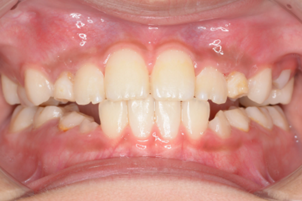
部分矯正を終了した患者様の


| 主訴 | 前歯のでこぼこを治したい |
| 治療方法 | 部分矯正 |
| 治療期間 | 7か月 |
| 費用 | 約30万円 |
| リスク・副作用 | 装着時に違和感を感じることがある |
お一人おひとりのお口の状態や症状に合わせ
適した方法をご提案させていただきます
全て含みます!
通院の度に診療費がかかるのでは不安という方へ。
当院では矯正治療の費用だけでなく、
毎月の調節料、後戻り防止のための
リテーナーなども全て含んだ治療費定額制です。
それ以外の費用は発生しません。

当院では「イオンプロダクトファイナンス」と提携を結び、インプラント治療・矯正治療などの保険外治療費をWebからのお申込手続きだけでご利用いただける分割制度「デンタルローン」を導入しております。下記は、マウスピース部分矯正を、24回払い(2年)、36回払い(3年)、48回払い(4年)、60回払い(5年)、72回払い(6年)を行った場合の金額になります。
横にスワイプしてご覧ください。
| 24回 | 36回 | 48回 | 60回 | 72回 | 84回 | ||
|---|---|---|---|---|---|---|---|
| 部分矯正 ※30万円の場合 | 初 回 | 13,339円 | 10,378円 | 9,594円 | 6,185円 | 10,352円 | 11,295円 |
| 2回目以降 | 13,000円 | 8,800円 | 6,700円 | 5,500円 | 4,600円 | 4,000円 |
5~40万円(税込)
全て含みます!


初回矯正相談は無料です。
お気軽にお問い合わせください!
こどもの矯正「小児矯正」は、原則、可能な限り非抜歯で行います。アゴの骨が成長している最中で、まだ柔らかい子供の時期であれば、専用の装置を利用することによって、顎の骨格を広げて歯を並べるスペースを確保できます。つまり将来的な抜歯矯正を回避できたり、矯正治療もより簡単なものになったり、大人と同様の矯正治療自体を回避できたりといったことにつながってきます。また、5歳以上になった段階で、歯並びを悪くする根本原因から治す小児の「予防矯正」にも対応しています。予防矯正では、「筋機能矯正装置」を用いて、お口周りの筋機能のトレーニングを行います。歯並びを悪くする原因の、「口呼吸」「舌の悪習癖」「飲み込む時の癖」「姿勢」などのを総合的に改善して、口腔・顎を正しく成長させ、きれいで機能的な歯並びを獲得できるように導いていく、一期治療よりもさらに前段階(小児期)の矯正治療となります。
※当院では小児矯正の経験豊富な矯正医が担当します。できるだけ早い段階から受診し、よりきれいな歯並びとかみ合わせの獲得に向けて取り組んでいきましょう。
予防矯正は、乳歯列期に行う治療で「矯正装置を付けて歯を動かす」のではなく、歯並びを悪くしている原因を改善することで「根本から歯並びを誘導・改善」して、歯並びが悪くなることを予防していきます。
一期治療は、混合歯列期(乳歯と永久歯が混ざって生えている時期)に行う矯正治療で、骨の成長を利用して、上下の顎骨の形やバランスを整え、歯がきれいに生えてくるようにスペースを確保します。
二期治療は永久歯列になってから行う治療で、基本的に成人矯正と同じです。生え揃った永久歯を移動させていき、歯列をきれいに整え、正しく美しい歯並びとかみ合わせを完成させます。


「プレオルソ」とは、マウスピース型矯正装置で、子供の歯並びを改善する装置です。この装置の特徴は「歯を直接動かす」のではなく、歯並びを悪くしている原因(口の周りの筋肉)を改善することで「間接的に歯並びを改善」していくことです。歯は適当に生え並んでいくのではなく、「舌・頬・唇の筋肉」のバランスに合わせて並んでいきます。つまり、この口周りの筋肉のバランスが悪ければ歯並びは悪くなり、バランスが良ければ理想の位置に自然と並んでいくのです。プレオルソは、お口に入れることで自然と口周りの筋肉を訓練しバランスを調整してくれますので、結果、歯が正しい位置に並んでいくことになります。

「プレオルソ」は、マウスピース型矯正装置をお口に入れることで、自然とお口周りの筋肉を訓練していき、バランスを調整してくれる仕組みです。
また「アクティビティ(口腔筋機能訓練)」は、お子さま自身でお口の正しい使い方を身に着けていただく訓練です。


インビザライン・ファーストは、成長過程にあるお子様のための、透明に近く目立ちにくいマウスピース型矯正装置による矯正治療です。乳歯と永久歯が混在している、一般的に6~10歳のお子様が対象(混合歯列期)ですが、適用条件は身体年齢でなく歯の年齢に基づきます。 1期治療は、6歳~10歳前後の患者様の顎の発育をサポートし、これから生えてくる永久歯のためのスペースを作り、同時に歯並びを整える治療のことですが、 1期治療により、永久歯に必要なスペースを作り歯並びを整えることは、虫歯や歯周病の予防につながり、大人になってからもずっと使い続ける大切な永久歯をサポートします。

ダイヤモンドドクター
当院はインビザライン・ジャパンからダイヤモンド・プロバイダーとして認定を受けています。
ダイヤモンド・プロバイダーとは、インビザライン矯正の年間症例数が150症例以上を満たした医院にのみ与えられる資格です。


歯並びは、お子様の「顔貌(がんぼう=、顔立ち)」に影響を与えます。
子供の頃から歯並びをキレイに整えることで男の子なら凛々しい顔立ちに、女の子なら可愛い顔立ちになっていきます。この時期に悪い歯並びを放置してしまうと、骨格の歪みや下顎前突(しゃくれたあごの形)の原因になることも。お子様のうちに適切な矯正治療をすることはとても大切になるのです。

インビザラインファーストでの矯正治療を始める時期としては、「6歳臼歯と、前歯が2/3生えている」状態が適応時期です。年齢としては、おおよそ6~9歳くらいの年齢になります。
お子様の歯並びのことで、少しでも気になることがあれば、まずは当院まで少しでも早めにご相談ください。できるだけ早い時期から治療をスタートしましょう。


10代のお子様のお口は、歯の生え替わりや顎の成長など成長過程にあるため、一般的なインビザラインによる矯正は困難でした。インビザライン・ティーンはこのような課題を克服し、11~16歳(小学校高学年~中学生くらい)の若年層向けに開発された新しいマウスピース矯正システムです。 インビザライン・ティーンの最大の特徴は、永久歯が完全に生えそろっていない(萌出途中の歯がある)場合でも矯正治療ができること。乳歯がすべて抜けているお子様であれば、治療を受けることができます。事前のコンピューターシミュレーションで歯の大きさを予測してスペースをつくるため、お子様の成長に合わせて効率的に矯正治療を進められます。


インビザライン・ティーンは、ワイヤー矯正に比べるとスポーツや吹奏楽などの部活や趣味に与える影響が少ないのがメリットです。 インビザライン・ティーンはマウスピース型の装置ですから、スポーツ中などに人とぶつかったり転んだりしてしまった際の、お口の中のケガのリスクを抑えられます。また、取り外しできるため、吹奏楽などで楽器を使う際も普段どおりの演奏ができます。
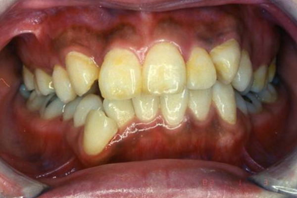
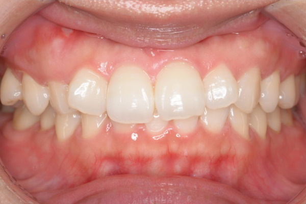
小児矯正を終了した患者様の


| 主訴 | 受け口を改善したい |
| 治療方法 | インビザラインファースト |
| 治療期間 | 1年2か月 |
| 費用 | 約37万円(調整費、保定費まで含む総額制) |
| リスク・副作用 | 装着時に違和感を感じることがある |
お一人おひとりのお口の状態や症状に合わせ
適した方法をご提案させていただきます
当院の小児矯正は
分割払いも可能です!
お子様に一生の財産ともいえる美しい歯並び、正しいかみ合わせ、虫歯や歯周病になりにくい構内環境をプレゼント。もちろん当院の小児矯正は分割払いも可能です!治療方針、装置の種類、治療期間等さまざまな要因で、費用が異なる場合があります。明確な治療費につきましては、検査後にお伝えさせていただきます。お支払のことも含めて、まずはお気軽にご相談下さい。
横にスワイプしてご覧ください。
| 内容 | プラン1 | プラン2 | プラン3 | |
|---|---|---|---|---|
| 準備矯正 | 乳歯と永久歯が混在している場合の矯正治療です。 | 約27万円 | 約32万円 | 約37万円 |
*保険治療適用外の自由診療です(税込)
当院では歯並びにお悩みの方のために、
矯正治療の無料相談を実施しています。
まずはお気軽にご相談ください。
ご自身の現状をお知りになるだけでも、
今後のために価値のあるものになるのではないかと思います。
矯正治療について、まずは現在の状況を診査します。現状の歯並び、顎の発育の状況、口呼吸など歯並びを悪くする習癖があるかなど。最終的に矯正をするかしないかに関わらず、この相談時にお伝えすることは、今後のお口の健康にとって大切な時間となるのではないかと思います。

次に、矯正治療にいついて、現状の気になることを改善するためにどんな治療が必要なのか、治療効果など詳しい治療内容のお話をさせていただきます。実際にどのような治療を行うのかをご説明します。矯正治療を始めた場合の費用・期間についてなど、お気軽にご質問くださいませ。


簡単な診査を行い、現在の症状やその原因、治療法、費用などを説明いたします。初診相談の次は検査となりますので、矯正治療を希望される方は、検査の予約をして下さい。
問診・視診・触診、一眼レフカメラにより写真撮影、歯列模型・分析、レントゲン検査、分析、顎関節の検査等、精密な検査を行います。
検査結果をご説明いたします。矯正治療計画のシミュレーション動画を見ていただき、今後の治療がどのように進んでいくのか、治療方針などについてもご説明させていただきます。
マウスピースによって歯を移動し、美しい歯並びと正しい噛み合わせに整えていきます。期間は1年半から2年程度です。通院回数は通常の矯正装置よりも少なくて済みます。
矯正治療後の歯は、不安定で元の位置に戻ろうとする(後戻り)性質があります。そのため、移動した歯が安定するまで、保定を行います。取り外し可能なリテーナーを使用します。
保定を終了して、歯および顎の位置が安定したら矯正治療は完了です。その後も後戻りが起きていないかの確認などで定期的にお越しください。
| 内容 | 料金(税込) | |
|---|---|---|
初診相談料![]() | 【所要時間】約30分 歯並びに関するお悩みをお聞きしてお口の中を検査するなど、矯正相談を行ないます。 | 無料 |
検査料![]() | 【所要時間】30~40分 レントゲン写真や、お口の中の写真撮影、歯型模型作製のための型どり(3Dスキャンまたは印象採得)などを行ない、患者さまを診断するために必要な資料をそろえます。 | 無料 ※他院では3万円~5万円ほどかかるのが通常です。 |
診断料![]() | 【所要時間】30~60分 精密検査の結果をもとに、現在の問題点、治療方法、治療期間、治療費などについて詳しくご説明します。あらゆる面で納得して治療を受けていただけるよう、十分に話し合った後、治療計画を決定します。 | 33,000円 |
| 内容 | 治療期間 (12ヵ月) | 治療期間 (18ヵ月) | 治療期間 (24ヵ月) |
||
|---|---|---|---|---|---|
| マウスピース矯正 (インビザライン) ![]() | 透明のマウスピース型矯正装置です。装着していても見た目はほとんどわかりません。 | 約11~70万円 | |||
上下「裏側」![]() | 上下とも裏側に矯正装置を装着します。 | 約81万円 | 約94万円 | 約99万円 | |
上「裏側」下「表側」![]() | 上は裏側、下は表側に矯正装置を装着します。 | 約74万円 | 約89万円 | 約94万円 | |
上下「表側」![]() | 上下の表側に矯正装置を装着します。 | 成長期 | ※1 約57万円 | 約74万円 | 約78万円 |
| 成長期以降 | ※2 約63万円 | 約77万円 | 約83万円 | ||
| 部分矯正 (プチ矯正) ![]() | 気になる歯の一部のみの矯正を行ないます。 | 約5~40万円(歯数により変動します) | |||
| ホワイトニング (上下顎) ![]() | 薬剤の力で歯を今よりも白くします | 22,000円 | |||
| 内容 | プラン1 | プラン2 | プラン3 | |
|---|---|---|---|---|
| 準備矯正 | 乳歯と永久歯が混在している場合の矯正治療です。 | 約27万円 | 約32万円 | 約37万円 |
二子玉川駅前矯正歯科